Corona o funda dental. Incrustación dental. Cerámica sin metal.
TIPOS DE RESTAURACIONES CERÁMICAS
Coronas y Fundas Dentales Fijas de Porcelana
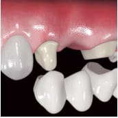
Las fundas dentales fijas son una opción común para tratar dientes debilitados o severamente dañados por la caries, fractura o desgaste. También conocidas como coronas dentales, estas fundas son estructuras protectoras que se colocan sobre los dientes existentes, cubriendo y protegiendo completamente la porción visible del diente. Proporcionan resistencia y protección, mejoran la apariencia estética y restauran la función masticatoria.
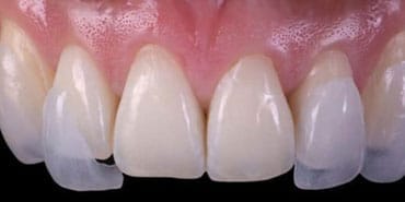
La porcelana es un material altamente estético que se asemeja al color y la apariencia natural de los dientes. Estas coronas se utilizan cuando se busca una restauración dental altamente estética, ya que la porcelana puede ser moldeada y coloreada para que coincida perfectamente con el resto de los dientes. Además de su aspecto estético, las coronas de porcelana también brindan una excelente resistencia y durabilidad.
Para su colocación, requiere el tallado previo del diente, eliminando entre 1-2 mm del perímetro del diente para dar espacio a la restauración. Hoy en día se fabrican los dientes de porcelana sin metal, totalmente cerámica, siendo altamente translúcidos y reflejando la luz de manera similar a los dientes naturales. El uso de la metal-cerámica, ha quedado relegado para casos muy concretos.


Incrustaciones de cerámica.
Son uno de los tratamientos más conservadores que tenemos para restaurar los dientes afectados por la caries, las fracturas o el desgaste causado por el bruxismo y la edad.
Son unas preparaciones cerámicas que sustituyen los tejidos ya desaparecidos, y que van adheridas o pegadas a la superficie del diente.
Requieren un tallado mínimo del diente, y a diferencia de las coronas o fundas, no abarcan todo el diente, sino que solo sustituyen los tejidos perdidos.
Se fabrican de cerámica, aunque también se pueden hacer de composite. Preferimos las primeras, ya que son mucho más estéticas y resistentes a la abrasión causada por la masticación
Carillas o Facetas de Porcelana.
Las carillas cerámicas o de porcelana, son unas delgadas láminas de cerámica, que se adhieren a la superficie del diente.
Junto a las coronas cerámicas o las incrustaciones sin metal, son un instrumento valiosísimo para los tratamientos estéticos, en donde tratamos de restaurar o crear una nueva sonrisa, en armonía con el rostro los labios y la encía proporcionando una sonrisa armónica y equilibrada.

PASOS PARA COLOCAR UNA CORONA O FUNDA DENTAL

1. Reconstrucción dental
Para lograr que la restauración se mimetice con el resto de sus dientes, le tomaremos unas fotografías, con las que determinar cuál es el color de sus dientes y así restaurar su diente con el mismo color.
Según sea el caso, necesitaremos de una restauración dental previa.
Si acude con el diente roto, o con algún problema, lo primero que haremos será reconstruirlo mediante técnicas conservadoras.

2. Tallado y Toma de fotografías.
En esta etapa, es cuando procedemos al tallado del diente. Consiste en desgastar su perímetro alrededor de 1-2mm para dar cabida al material cerámico restaurador.
Tomamos unas impresiones de su boca, para confeccionar unos modelos de escayola con los cuales poder trabajar.

3. Prueba Estética
En el caso de restauraciones donde la estética prime, realizaremos una prueba, con la restauración aún sin acabar, en la que determinaremos qué ajustes color y anatomía son las correctas.

4. Colocación y cementado de la restauración
Cementar una corona u otro tipo de restauración cerámica, requiere una técnica laboriosa y precisa. El paciente llevará durante muchos años dicha restauración, por lo que será de vital importancia que quede bien cementado para evitar que entren alimentos o bacterias que nos pudieran producir una futura caries del diente.
MATERIALES EN LA FABRICACIÓN
DE LAS CORONAS O FUNDAS
Coronas o Fundas Convencionales
(Coronas Metal- cerámicas o Zirconio-cerámica)
Las coronas o fundas convencionales se fabricaban mediante una estructura interna metálica que “a posteriori” fue sustituida por una cerámica de alta resistencia.
En su exterior, dicha estructura se reviste por otro tipo de cerámica, con la que imitamos la anatomía y el color que proporcione a nuestra restauración la estética requerida.
Este tipo de restauraciones, tenía el problema de necesitar mucho espacio para ser colocada en boca, y sufrir pequeñas roturas de la capa externa de cerámica llamadas lascas.
Coronas o Fundas Monolíticas
Coronas de Zirconio o Disilicato
Consiste en fabricar coronas o fundas, con cerámicas de alta resistencia sin estructuras internas. Es una sola fase cerámica. Tienen como ventaja que no tienen roturas de cerámica externa o lascas.
Se utilizan principalmente en el sector posterior.
Coronas o Fundas Cerámica Estética
Al igual que las anteriores, se fabrica una Corona totalmente cerámica, sin estructuras internas. La diferencia radica que a nivel anterior, se le adhiere una carilla de cerámica más estética, que nos permite personalizar su diente a la perfección mimetizándose con los dientes vecinos.
Se usan principalmente a nivel anterior.
Solicite aquí su cita

DR. LORENZO CASTAÑER ABELLANET
Implantes Dentales, Prótesis Y Estética Dental
- Licenciado en Odontología por la Universidad Europea de Madrid.
- Colegiado nº 877 en el colegio Odontólogos de Baleares.
- Miembro de SEPES, SEPA, AEDE.
- Certificado por ITI. International Team for Implantology.
- Diploma ” Cirugía regenerativa en Implantología”. Universidad Complutense.
- Diploma en Periodoncia Avanzada. Universidad Complutense. Madrid
¡Contacte con nosotros!
WhatsApp
689 575 929
Teléfono
971 726 556
