Tratamiento de las enfermedades de las encías.
Las enfermedades periodontales son un conjunto de cuadros clínicos de origen infeccioso, que afectan a los tejidos que rodean a los dientes, produciendo inflamación de la encía, y en los casos más avanzados una destrucción del hueso que sustenta a los dientes.
Están causadas por unas bacterias que se van acumulando en la placa y el sarro dental, que si no se eliminan de forma adecuada, persistirá la infección y la afectación de los tejidos, progresando la enfermedad.
Si la enfermedad avanza de forma severa se llega a un punto donde se produce una pérdida de hueso acompañado por una recesión de las encías (Encías altas) Para que la periodontitis avance, no basta con que se nos acumule placa bacteriana, sino que se unen otros factores, que harán que la enfermedad avance más o menos rápido.
El diagnóstico periodontal, será de vital importancia para establecer un buen plan de tratamiento y detener la enfermedad, crucificandola y evitando que vaya a más.
las principales enfermedades de las encías son:
- GINGIVITIS: Es la primera fase de la enfermedad periodontal, y la más leve. Las bacterias se acumulan en el sarro y la placa produciendo un proceso inflamatorio de la encía. Nos encontramos entonces con una encía entumecida, con sangrado. Desaparece mediante una buena higiene oral.
- PERIODONTITIS: Si la enfermedad progresa y no se detiene la infección, esta avanza por los tejidos que rodean al diente. Es un proceso inflamatorio al igual que la gingivitis, pero se extiende a los tejidos de soporte de los dientes, caracterizándose por una pérdida de los mismos.

Enfermedades periodontales. ¿cómo reconocerlas?
Los signos más fáciles de identificar si padeces alguna enfermedad periodontal son:
- El sangrado de las encías, el cual puede ser espontáneo o durante el cepillado, así como la tumefacción y enrojecimiento de las mismas.
- Algunas pacientes pueden experimentar un aumento a la sensibilidad,
- Halitosis o mal aliento
- Retracción de las encías.
- Movilidad dentaria
- Migración de los dientes. Abanicamiento de los dientes.
Cuando la enfermedad ya está avanzada, los dientes empiezan a moverse, lo cual es un signo claro de que debemos acudir a nuestro dentista de manera inmediata.
Por último si no se actúa a tiempo, los sientes empezaran a caerse.
EVOLUCIÓN DE LA ENFERMEDAD PERIODONTAL
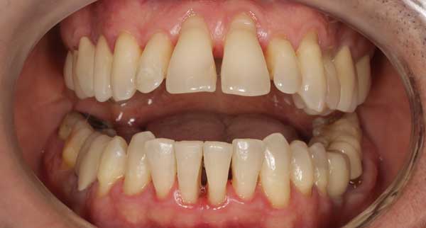
Sonrisa periodontal
Los estragos de la enfermedad periodontal son variables. Todo dependerá de lo avanzada que esté, y de si hemos conseguido frenar a tiempo. Al final, nuestra sonrisa adquiere ciertas características de la enfermedad como son:
- Dientes largos.
- Espacios negros entre los dientes por ausencia de encia
- Asimetría en la línea de nuestra encía.
Mediante técnicas de estética dental, podemos minimizar y en algunos casos, dar a tu sonrisa una apariencia totalmente normal.

Cirugía estética de la encía
Una sonrisa bonita, está formada por la armonía entre los dientes y las encías. En ocasiones algunos pacientes al sonreír, muestran una proporción de encía respecto a los dientes. Lo llamamos Sonrisa Gingival.
Por el contrario, algunos dientes pueden presentar recesiones gingivales, donde la encía que cubría la raíz dental ha desaparecido en parte, y se un diente excesivamente largo.
En la clínica Castañer, realizamos tratamientos de cirugía mínimamente invasivos, para poder solucionar estos problemas. Cada caso es diferente, por lo que debemos establecer un diagnóstico individualizado de cada caso, para poder corregirlo de la manera adecuada.
Recesiones
de la encia

Exceso de encía. Sonrisa Gingival

Erupción pasiva de los dientes

¡Contacte con nosotros!
WhatsApp
689 575 929
Teléfono
971 726 556



